|
Zoonoses短篇通讯 | 意大利中枢神经系统托斯卡纳病毒感染的异常临床特征
作者:Zoonoses 来源: 时间:2026-01-30 访问量: 9 |
|
Zoonoses 最新重磅文章 Unusual Clinical Features of Toscana Virus Central Nervous System Infections in Italy意大利中枢神经系统托斯卡纳病毒感染的异常临床特征作者:Antonio Mastroianni , Valeria Vangeli , Giuliana Guadagnino , Luciana Chidichimo , Lavinia Berardelli , Robert Tenuta , Vittorio Sambri , Simona Di Cesare , Sonia Greco第一作者 :Antonio Mastroianni合作作者 :Valeria Vangeli, Giuliana Guadagnino, Luciana Chidichimo, Lavinia Berardelli, Robert Tenuta, Vittorio Sambri, Simona Di Cesare, Sonia Greco通讯作者 :Antonio Mastroianni (antoniomastroianni@yahoo.it)主要单位 : 意大利科森扎医院传染病与热带病科
托斯卡纳病毒(Toscana virus, TOSV)是一种在地中海国家日益受到关注的新发虫媒病原体,主要通过白蛉叮咬传播。该病毒属于布尼亚病毒科,首次于1971年在意大利托斯卡纳地区发现,随后在西班牙、法国、克罗地亚等地中海沿岸国家均有报道。典型感染表现为自限性流感样症状,但部分病例可发展为脑膜炎、脑膜脑炎等严重中枢神经系统疾病。近年来,随着监测体系完善和诊断技术进步,非典型临床表现病例报道逐渐增多,包括精神运动性激越 、持久性人格改变等神经精神症状。 近日,意大利科森扎医院传染病与热带病科Antonio Mastroianni团队在国际同行评议期刊Zoonoses发表了题为《Unusual Clinical Features of Toscana Virus Central Nervous System Infections in Italy》的短篇通讯。 本研究通过回顾性分析意大利两家医疗中心2012-2025年确诊的神经侵袭性TOSV感染病例,系统评估其临床特征、影像学表现及预后,旨在提高临床医生对非典型表现的TOSV感染病例识别能力。 论文摘要 本研究回顾性分析意大利两家二级医院2012-2025年确诊的35例神经侵袭性托斯卡纳病毒感染病例,其中男性28例、女性7例;平均年龄48.54岁;32例诊断为脑脊液清澈的脑膜炎,3例诊断为脑炎。脑膜炎病例均未出现死亡或永久性后遗症,平均住院6.42 d;3例脑炎患者因持续至少12 h且进行性加重的精神运动性激越需入住重症监护室,其中2例伴攻击性行为改变。所有脑炎患者经平均6.3 d急性期治疗后基本康复,但1例73岁男性发展为慢性器质性精神综合征,于入院3个月后死亡。实验室检测显示脑脊液中平均白细胞计数125个/mm³、蛋白质95 mg/dL,血清学与分子检测均阳性。研究提示虽然大多数TOSV感染症状轻微,但其对中枢及周围神经系统的特异性亲和力可能导致严重临床结局。
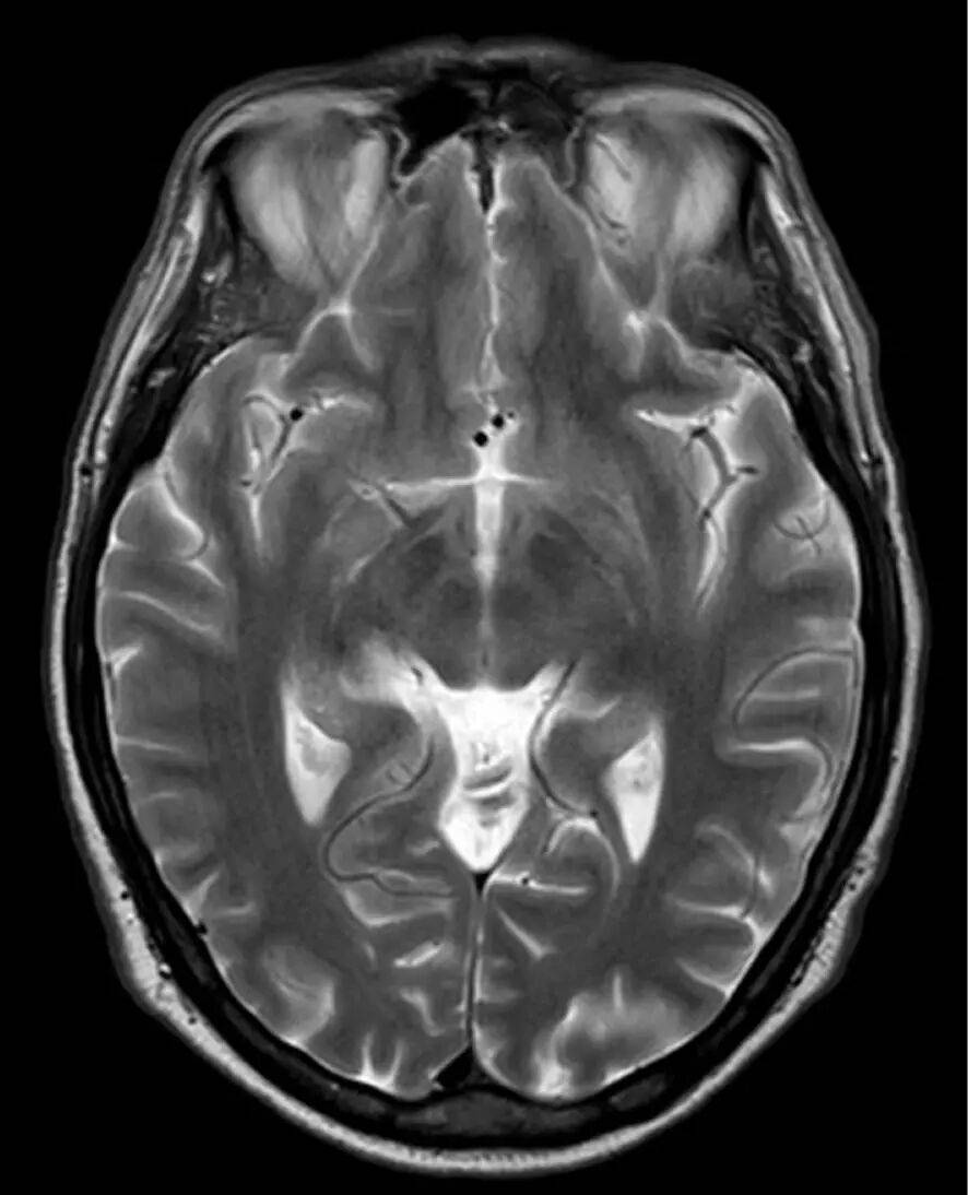
图1 头颅MRI显示双侧小脑区软脑膜-小静脉轻度强化 研究意义 本研究发现精神运动性激越可作为TOSV神经侵袭性感染的突出特征,修正了传统认为该病毒仅引起轻度脑膜炎的认知。病例中出现的攻击性行为改变、幻觉等精神症状,提示病毒可能特异性影响边缘系统功能。这一发现对临床实践具有重要启示:在夏季地中海地区就诊的急性器质性精神综合征患者中,需将TOSV纳入鉴别诊断范围,尤其当患者有白蛉接触史时。从公共卫生角度看,研究结果强调需加强流行区医疗机构的病原体快速检测能力,从而避免误诊为原发性精神疾病而延误抗病毒治疗。病毒神经嗜性机制的研究缺口也值得关注,未来需开展宿主-病原体互作研究,阐明病毒株特异性与临床表现多样性的关联。 Please cite this article as 引用信息 Citation: |

English
日本語
电话:0512-67621565
邮箱:info@iseediting.com



最新消息
